Wednesday, May 04, 2005

A Very Good Reason For Avoiding Meth...

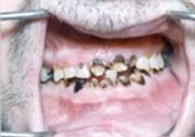
I couldn't believe this picture when I saw it. Think of the pain he must be in. I imagine not too many meth addicts visit their dentist regularly--mostly because they spend all of their money on meth. So, the only dental care they must get is during their prison stay. Read the full story here.

No comments:

Post a Comment